
Before & After
Braces Examples
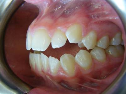
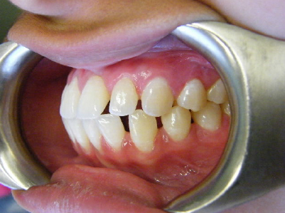
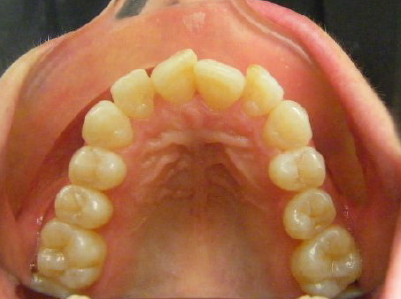
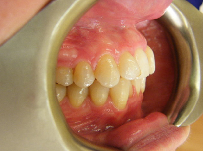
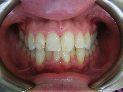
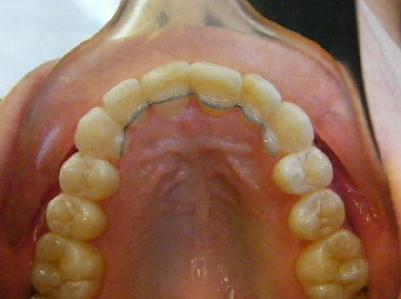
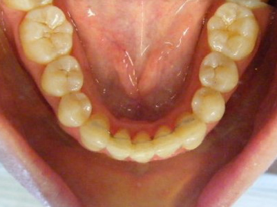
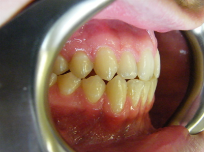
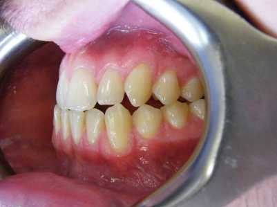
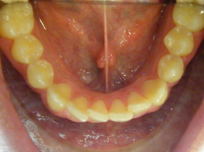
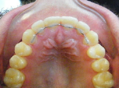
Patient 1: Severe upper and lower crowding with congenitally missing two lower adult teeth and a crossbite.






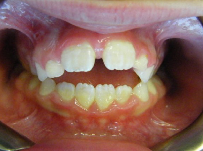
Patient 2: Significant increased overjet and upper and lower crowding.






Patient 3: Significant increased overjet and upper and lower crowding.






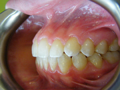
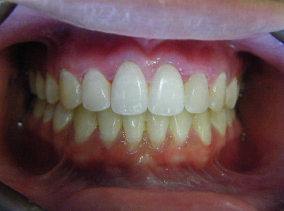
Patient 4: Upper and lower crowding and a deep overbite.






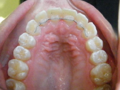
Invisalign Examples
Patient 1: Upper & lower anterior crowding and openbite.










Patient 2: Spacing and proclined upper & lower front teeth.










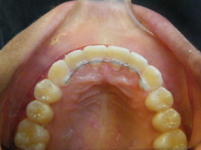
Patient 3: Severe upper and lower crowding.










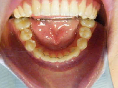
Patient 4: Upper and lower crowding, edge to edge bite and crossbite.










Early Phase of Treatment Examples
Patient 1: Thumb sucking and crowding of the upper front teeth.






Patient 2: Thumb sucking and openbite.






Patient 3: Thumb sucking and crossbite.






Patient 4: Crossbite due to thumb sucking.






Patient 5: Underbite of the upper front teeth and crossbite.






Patient 6: Proclined upper front teeth and crowding.





