Jaw Expansion Treatment
Home » Orthodontic Treatment » Adolescent Orthodontic Treatment » Stage 1 – Functional Orthopaedic Appliances »
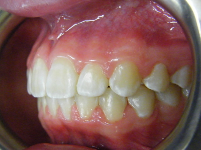
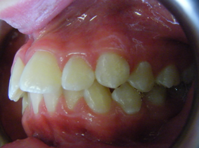
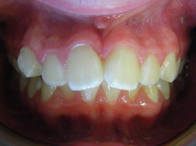
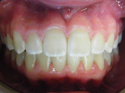
If the top jaw is narrow and there is crowding of the upper teeth or a crossbite (this when the upper teeth bite inside the lower teeth), expansion of the top jaw may be recommended.
An expansion plate widens the top jaw which corrects crossbites and creates space in order to align crowded teeth.
Expansion of the top jaw is done prior to the placement of upper and lower fixed braces or Invisalign aligners.
The first two sets of photos below are the before and after photos of a patient who had expansion of the upper jaw followed by upper and lower fixed braces. The third set of photos shows a patient with an expansion plate bonded to the upper teeth and lower fixed braces.
