Common treatments for deep bite correction include braces, clear aligners and sometimes orthodontic appliances like bite plates. The right option depends on the severity of the bite and individual needs. Dr. Emma will tailor a plan to ensure both function and aesthetics are restored comfortably.
Children's Deep Bite Correction
What is a deep bite in children?
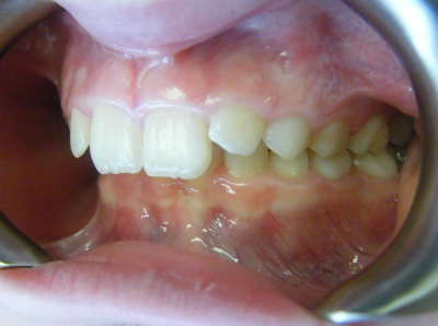
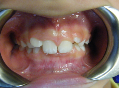
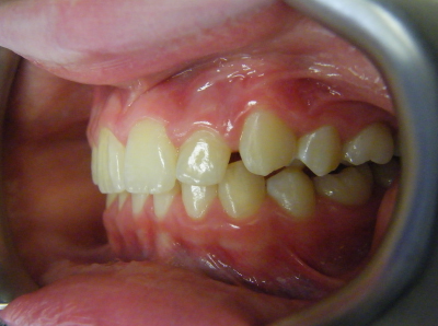
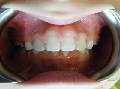
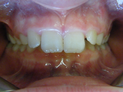
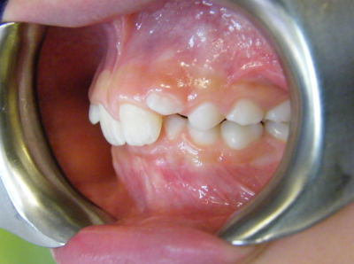
A deep bite happens when the upper front teeth excessively overlap the lower front teeth vertically, often hiding the lower teeth when the mouth is closed. This common orthodontic concern in kids can affect chewing, teeth and jaw health if left untreated.
How is a deep bite corrected in children?
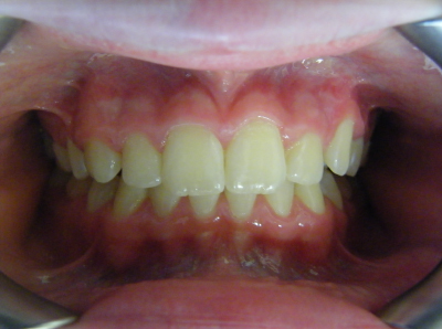
Treatment usually requires an upper removable plate to be worn full-time for 6 to 12 months and thereafter at nights. Often correction of a deep bite may be included as part of an early phase treatment. This appliance gently guides the teeth and jaw toward proper alignment.
Why is early deep bite treatment important?
Early intervention can prevent complications like:
- Excessive tooth wear
- Jaw discomfort or dysfunction
Addressing a deep bite during childhood prevents tooth wear and supports healthy jaw growth.
Book your child’s overbite treatment consultation today.
Book your consultation at Smile Orthodontics and Dr. Emma will carefully assess if deep bite correction is right for your child. We will guide you through everything with clarity, care and solutions that fit your child perfectly.
Often the treatment may involve the use of an upper removal plate worn full-time for a period of 6-12 months.
If there are any other problems which need addressing at the same time the treatment may include initial widening of the top jaw to create more bone and space for the alignment of the teeth.
This is usually carried out using an expansion plate bonded to the upper back teeth and braces placed across the upper six front teeth.
After the expansion plate and braces are removed a removal upper plate is then issued to retain the alignment of the teeth and to address the overbite.
Deep bite treatment usually takes approximately 12 months, depending on the complexity of the case and the patient’s age. Regular check-ups and good oral hygiene can help keep your treatment on track and deliver effective, lasting results.
An overbite refers to the vertical overlap of the upper front teeth over the lower front teeth, while a deep bite is a severe form of overbite where this overlap is excessive and can cause dental or jaw problems. Both conditions benefit from professional evaluation and treatment.
Children should ideally have their first orthodontic evaluation around 6-8 years of age, at this stage early signs of an overbite or other bite issues can be identified. Early assessment allows for timely intervention, which can simplify treatment and improve long-term oral health.
Wearing an orthodontic plate may cause mild initial discomfort as your mouth adjusts, but it should not be painful. Most children quickly adapt, and any soreness typically eases within a few days. Dr. Emma will provide guidance to ensure a comfortable experience.
